Smile Studio Dental Clinic
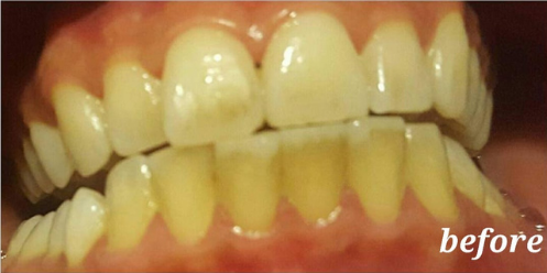
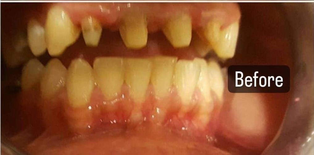
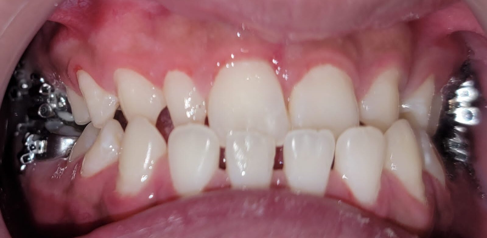
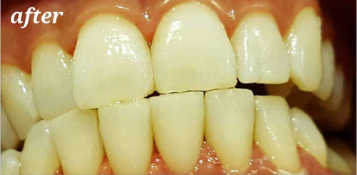
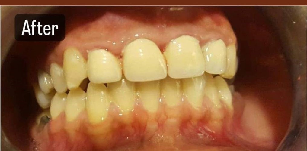
At Smile Studio, we believe the best proof of quality dental care is visible results. Our before and after gallery showcases real patient transformations across orthodontics, cosmetic dentistry, implants, and smile makeovers. Each case reflects our commitment to precision, comfort, and natural looking outcomes that enhance both oral health and confidence.
Explore how expert care, modern technology, and personalized treatment plans can completely transform your smile and overall appearance.









See how our expert dental treatments transform smiles, confidence, and oral health. Every before and after case reflects precision care, advanced techniques, and personalized treatment planning designed to deliver visible, lasting results.
Our specialists focus on natural aesthetics, healthy function, and patient comfort, ensuring every smile makeover looks authentic, balanced, and beautiful, not artificial.
Each transformation showcases real patient outcomes backed by clinical expertise.
We design smiles that complement facial structure and personality.
Modern technology ensures accurate, long lasting improvements.
At Smile Studio, we are committed to delivering high-quality dental care in a comfortable and welcoming environment.
© 2026 Smile Studio. Developed by Xtreme Origin
WhatsApp us